2024年12月5日,云南马关县人民医院疼痛科与上海市中西医结合医院风湿科携手,为一名误诊多年的硬皮病患者开展了一次远程线上会诊。此次会诊不仅体现了现代医疗技术的便捷,更彰显了医者仁心的温暖。
前期沟通
现任马关县人民医院疼痛科主任的李涛主任,是我院骨伤科对口支援云南马关县人民医院的医生。在日常工作中,他遇到一名患者,苦于反复的手指雷诺现象及手指肿胀紧绷等症状近5年,辗转就诊,均未明确诊断。李涛主任火眼金睛,发现其临床表现与我院风湿科的优势病种“系统性硬化症”有较多相似之处,为了确诊,李涛医生在学习该疾病相关知识同时,及时联系了我院风湿科的王蕾主任。在王蕾主任的远程指导下,指导患者进行了一系列用于明确诊断的检查。


后续检查

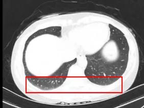
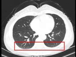
根据患者临床症状(手指雷诺现象、手指肿胀及皮肤增厚)(如图1-1)、胸部CT发现早期轻度肺纤维化(如图1-2)、SSc特异性抗体(抗着丝点抗体强阳性)(如图1-3)等情况,考虑可以明确诊断为“系统性硬化症”。
远程会诊
由于马关县与上海市之间距离遥远,加之患者经济条件有限,无法前往上海接受进一步治疗。为了解决这一难题,双方医院决定于12月5日通过远程线上会诊平台进行会诊。此次会诊汇集了上海市中西医结合医院风湿病科王蕾主任和医护团队、马关县人民医院疼痛科主任李涛、负责人胡文、护士长张弟梅和医护团队、患者及患者家属以及双方医务科相关人员等。
李涛主任仔细、全面地收集了患者的资料,以PPT形式进行了介绍。在会诊过程中,双方医生就患者的病情进行了深入的讨论,并结合患者的实际情况,共同制定了详细的治疗方案。上海市中西医结合医院风湿病科在中西医结合治疗硬皮病方面具有丰富经验。本次会诊不仅为患者提供了专业的治疗建议,也给予了患者及其家属极大的心理支持和信心。
制定方案
此次远程线上会诊的成功开展,不仅为患者带来了希望,也标志着两地医院在医疗资源共享、远程医疗服务方面迈出了坚实的步伐。未来,双方医院将继续加强合作,为更多偏远地区的患者提供高质量的医疗服务,共同推动医疗事业的发展。