风险常伴救人路,
成就满满心中驻。
重症医生乐无穷,
生命之光永守护。
68岁的蒋女士因病在养老院卧床已有4年余。入院前一周出现发热,最高达38.5℃,伴有痰多,不易咳出,养老院用药后未见病情有所好转,并出现氧饱和度进行性下降,遂来我院就诊。
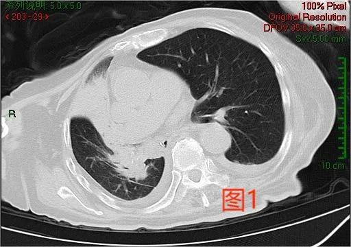
入院时,患者面罩10L吸氧,指末氧在88%波动,新型冠状病毒核酸检测阳性,血常规提示白细胞计数11.6×109/L↑,急诊查胸部CT示:右肺上、中叶实变(如图1)。

初步考虑患者为:1、细菌性肺炎;2、新型冠状病毒肺炎(危重型);3、呼吸衰竭(I型)。给予1、氧疗(高流量吸氧:氧流量60L/min,吸入氧浓度75%);2、抗细菌;3、小分子药物抗病毒等治疗。观察24小时,患者指末氧继续下降,血气分析提示:动脉血氧分压42.3mmHg↓,氧饱和度80%↓。
至此,如何解决患者的氧供已迫在眉睫。尝试气管镜下吸痰开通气道,似乎是行插管机械通气前最后的努力了。但患者此刻处于低氧状态,长期卧床机体营养状况不佳,能否耐受气管镜检查重症医生心中还真没把握。然而为了患者生的希望,风险再大也要上,重症医生从来就是不畏艰难、迎难而上的。
快、准、稳,气管镜下重症医生快速找到引起气管堵塞的部位,吸除了造成右上、右中肺堵塞的痰栓开通了气道,患者氧饱度的改善也是立竿见影。随后在有效的个体化治疗和护理团队的精心照料下,患者病情日渐好转,住院1周时复查胸部CT,阻塞的病灶完全消除(见图2),患者已于近期康复出院。
