深夜泌尿外科请急会诊。患者,男,70岁,前列腺穿刺活检术后第1日,会诊前数小时起出现进行性下降的氧饱和度。即刻床旁查看患者,呈嗜睡状态,血压,95/50mmHg,心率120/分,血氧饱和度60%-70%。血气分析提示:PH7.47↑;二氧化碳分压26.6mmHg↓;动脉血氧分压34.5mmHg↓;剩余碱-4mmol/L↓;氧饱和度69%↓;乳酸6.5mmol/L↑。
询问病史,患者因“双下肢水肿半年余,加重1周余”肾内科收入院。半年前因发现下肢水肿,辗转多家医院就诊,除发现有低蛋白血症,未发现其它异常。口服利尿剂治疗效果不佳。本次入院除查体有III度水肿,风湿免疫类、肝炎类、肾炎类、尿蛋白检验均为阴性。影像检查提示有前列腺钙化,为排除前列腺癌可能,转泌尿外科行前列腺穿刺活检。手术过程顺利,术后24小时患者无异常临床表现。术后第1天傍晚起,患者逐步出现胃纳差伴寒战,后逐步进展为会诊时状态。
予快速扩容,做好氧供,即刻转ICU治疗。
入ICU后患者呈浅昏迷状态,高流量吸氧状态下患者血氧饱和度仍呈进行性下降,立即予气管插管呼吸机辅助通气。插管过程中见患者声门处大量血性液咳出,随即气管镜探查,发现双肺散布粘膜下出血点,见视频。(视频可能引起不适,请谨慎观看)

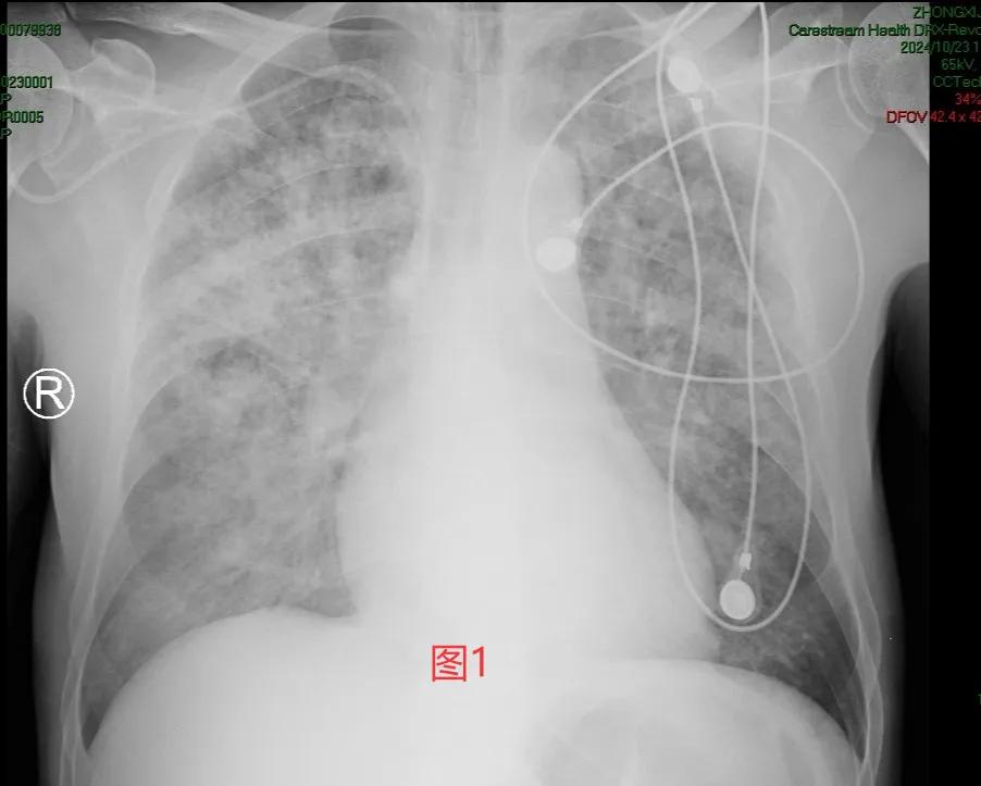
一个念头闪现,难道是“弥漫性肺泡出血综合征”?马上拍了个床边片(图1)。哇!还真有可能是它。

弥漫性肺泡出血综合征(diffuse alveolar hemorrhage syndrome,DAHS)是以痰中带血、咯血、呼吸困难、进行性贫血和胸部X线或CT影像呈弥漫性肺泡浸润为特征的临床综合征[1]。DAHS临床较为少见,多数起病急骤,病因复杂,如感染、中毒、药物、化学物质、细胞毒药物、自身免疫系统性疾病、系统性血管炎、血液系统疾病、造血干细胞移植等均可导致DAHS。
结合患者病史,考虑该病例感染引起可能大。后续予加强抗感染,多次气管镜灌洗清除积血,输血,并进行多次胸部CT检查(见对比图)。在插管后第5天顺利脱机拨管。后结转至普通病房,并于近日康复出院。

对比图
该病例的成功救治让我们认识到对于临床上出现咯血、弥漫性肺泡渗出、低氧血症、进行性贫血的患者应通过详细病史采集、体格检查、影像学检查、实验室检查、纤支镜等综合方法尽早确诊DAHS。早期、合理的治疗可降低该疾病的病死率。
· 附该病例的各项实验室数据。




参考文献
[1] Baumgartner M, Ashton R. Diffuse alveolar hemorrhage [J]. South Med J, 2011, 104(4): 274-275.