就医版|学术版
 
清除定时炸弹“异位嗜铬细胞瘤”——卧床两月患者终于站起来了!
时间:2021-04-16

   

清除定时炸弹“异位嗜铬细胞瘤”——卧床两月患者终于站起来了!

   

   

D:桌面外二科.jpg

   

  嗜铬细胞瘤是一种起源于神经外胚层嗜铬组织的肿瘤,主要分泌儿茶酚胺,出现头痛头晕、心悸、恶心、呕吐、出汗、面色苍白、焦虑、恐惧感 、视力模糊、心动过速、心律失常、心前区紧迫感,甚至诱发左心衰竭和脑卒中。病人可因长期高血压致严重的心、脑、肾损害或因突发严重高血压而导致危象,危及生命。

  我院最新成功救治了一例“嗜铬细胞瘤”患者。71岁的患者李先生是通过120急救车从江西老家一路“运”过来的!转来我院前1月余,李先生出现了严重的体位性的急性高血压,伴有头晕、胸闷、心悸、出汗等症状,严重时出现晕厥,收缩压最高至210mmHg,所以,一直躺在病床上,不能坐立。其实,患者在3年前就在深圳及江西老家发现了高血压病及腹膜后肿瘤,因为肿瘤位于大血管中间,担心术中挤压肿瘤或切除肿瘤后引起难以控制的高血压或低血压,所以一直未能手术。

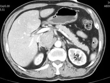
  D:桌面外二科.jpg

   

   

  入住我院后查上腹部增强CT提示:腔静脉与腹主动脉间隙肿块,最大径约59mm(比三年前明显增大),考虑异位嗜铬细胞瘤,查血儿茶酚胺是正常值的20倍以上。上海市中西医结合医院普外科主任杨孙虎医师和泌尿外科专家刘剑新副院长反复研究病情,并由医务处组织泌尿外科、影像科、心病科、内分泌科、麻醉科、ICU、肿瘤科、输血科等学科的专家进行了MDT讨论,决定为患者实施腹膜后肿瘤切除术,并制定了周密的围手术期准备方案,包括术前控制血压、心率、扩容,术中因为挤压肿瘤导致的高血压危象和肿瘤切除后低血压的纠正等等。

D:桌面外二科.jpg D:桌面外二科.jpg

  经过3周的积极术前准备后,于7月27日上午,由普外科杨孙虎主任团队与泌尿外科刘剑新院长强强联手,对李先生进行腹膜后肿瘤切除。术中发现,肿瘤位于下腔静脉、左肾静脉与腹主动脉夹角的后上方,与周围组织黏连致密,血运十分丰富,稍微触碰肿瘤,血压即刻飚升,这对手术医生和麻醉医生都是很大的挑战。麻醉科主任段思源亲自挂帅,组织最强队伍为患者实施麻醉,下腔静脉术前因为扩容,变得非常饱满,肿瘤显露也很困难,但手术却做得有条不紊,术野清晰,操作精细,手术过程非常顺利,肿瘤完整切除,出血不到50毫升。术后转入ICU,由董海生主任团队继续对患者进行生命支持,术后血压平稳控制,恢复顺利。目前患者可自行下床走动,生活完全可以自理,准备出院。

  D:桌面外二科.jpg


面对高难度、高风险的挑战,上海市中西医结合医院多学科协作作战,创造奇迹,为患者的生命保驾护航。


  D:桌面外二科.jpg


服务热线:021-65415910

医院地址: 上海市虹口区保定路230号(200082)

联系我们 | 版权声明 | 隐私安全 | 网站地图 | 使用帮助

官方微信公众号

上海市中西医结合医院体检中心

 

Copyright © 2015 上海中医药大学附属上海市中西医结合医院  沪ICP备20000033号-1  沪公网安备 31010902001140号