就医版|学术版
 
成功进行一例冠脉支架植入术
时间:2018-08-13

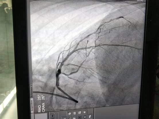
  2018年7月4日上午中西医结合医院心内科又成功进行了一例冠脉支架植入术,此患者女性67岁,反复胸闷胸痛,活动后加重,冠脉造影提示前降支近中段严重狭窄95%,经介入治疗后前降支串联植入美敦力支架两枚,狭窄解除,血管通畅,患者症状解除,生活质量恢复。中西医结合医院心内科自2016年起即获得了上海市冠状动脉内治疗介入准入,有资质开展一系列治疗。并且上海的医保覆盖患者可以享受和其他医院一样的优惠支付政策。

  


上一篇:无
下一篇:起搏之家联谊活动

服务热线:021-65415910

医院地址: 上海市虹口区保定路230号(200082)

联系我们 | 版权声明 | 隐私安全 | 网站地图 | 使用帮助

官方微信公众号

上海市中西医结合医院体检中心

 

Copyright © 2015 上海中医药大学附属上海市中西医结合医院  沪ICP备20000033号-1  沪公网安备 31010902001140号